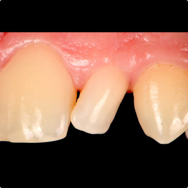
Restoring peg-shaped laterals can be a challenge for even the most experienced dentists or orthodontists. Matching the size, proportion, and colour, as well as managing the space and symmetry, can leave restorations open to inaccuracies and imperfections. But choosing an effective restorative is the first step towards excellent results.
Filtek Easy Match Universal is designed to simplify day-to-day dental restorations with intuitive shade selection, naturally adaptive opacity, and reduced inventory.
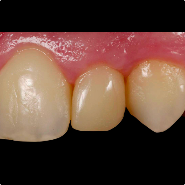
With 3M Filtek Easy Match Universal Restorative it is easy to focus on shape, contour and anatomy, while achieving a natural-looking, aesthetic result, without worrying about multiple layers and shades of composite.
Using the 3M Filtek Easy Match Universal Restorative in shade Natural, Dr Walter Devoto demonstrates step-by-step how to achieve high-quality restorations.

Simplify your restorations with Dr Devoto’s tried and tested technique, for highly aesthetic results using Filtek Easy Match Universal.
